“간편하게 웹에서 건강 상태 체크! 지금 바로 시작하기”
🦷 이빨이 흔들릴 때 — 단순 현상이 아닌 신호일 수 있습니다
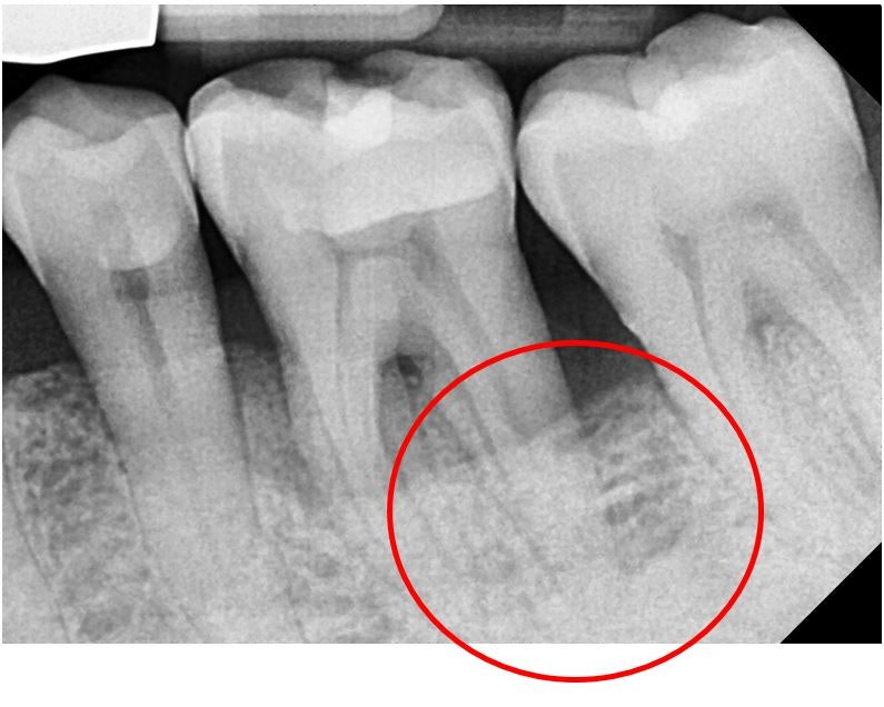
이빨이 흔들리는 증상은 단순 피로 때문이 아니라 치주염, 잇몸 염증, 교합 문제, 치근 손상 등 다양한 원인으로 발생합니다. 방치하면 영구치가 손상되거나 발치까지 이어질 수 있어 초기 대응이 무엇보다 중요합니다.



⚠️ 이빨이 흔들릴 때 주요 원인
- 🦠 치주염(잇몸병)잇몸뼈가 손상되며 치아가 흔들리는 가장 흔한 원인입니다.
- 🩸 잇몸 염증·출혈잇몸이 붓고 피가 나며 치아 지지력이 약해집니다.
- 🦷 교합(씹는 힘) 불균형한쪽으로만 씹거나 이갈이(브룩시즘)로 인해 치아가 흔들릴 수 있습니다.
- 🪥 과도한 양치·칫솔질 습관강하게 닦는 습관은 잇몸을 손상시켜 흔들림의 원인이 됩니다.
- 🧬 노화로 인한 잇몸 약화나이가 들수록 치조골이 자연 감소하여 흔들림이 나타날 수 있습니다.
- 🩺 전신질환(당뇨, 골다공증)혈관·뼈 건강이 약해지면 잇몸 뼈도 영향을 받습니다.



🧫 이빨 흔들림, 위험 신호 체크
| 증상 | 가능한 원인 |
|---|---|
| 양치할 때 피가 남 | 잇몸염증·치은염 |
| 치아가 좌우로 흔들림 | 치주염·치조골 감소 |
| 잇몸 통증·부기 | 염증·세균 감염 |
| 아침 기상 시 턱 통증 | 이갈이·교합 문제 |
💊 이빨 흔들릴 때 응급 대처법
- 🪥 칫솔은 부드러운 모로 변경
- 🧂 미지근한 소금물로 가글해 염증 완화
- 🦷 치아 흔들림이 심하면 해당 부위를 사용하지 않기
- ❌ 손으로 치아를 흔들지 말 것
- ❗ 24~48시간 내 치과 방문 필수



🦷 치료 방법 (치과에서 가능한 치료)
- 🧼 스케일링·잇몸 치료 — 염증 제거
- 🦴 치조골 재생치료 — 잇몸뼈 회복
- 🔗 치아 고정술 — 흔들리는 치아를 옆 치아와 고정
- 😬 교정치료·교합 조정 — 씹는 힘 균형 회복
- 🦷 심한 경우 발치 후 임플란트
🏃 예방 방법
- 규칙적인 치실·칫솔질
- 과도한 힘으로 양치 금지
- 정기적인 스케일링(6개월~1년)
- 밤에 이갈이 있다면 마우스피스 착용
- 당뇨·흡연자라면 잇몸 관리 더욱 철저히



이빨이 흔들린다면 이미 잇몸 뼈나 조직에 문제가 있다는 신호일 수 있습니다. 증상이 가벼워 보여도 꾸준히 진행되면 치료가 어려워지므로 빠른 진단과 치료가 무엇보다 중요합니다. 초기 관리만 잘해도 치아를 충분히 지킬 수 있습니다.
치주염 증상
“간편하게 웹에서 건강 상태 체크! 지금 바로 시작하기” 🦷 치주염 증상 — 조기 발견이 치아를 살립니다치주염은 치아를 지탱하는 잇몸과 치조골에 염증이 생겨 치아가 흔들리거나 빠질 수
coachhealthy.tistory.com
당신의 그림 퍼즐 실력을 확인하고 뇌 건강도 챙기세요!!