“간편하게 웹에서 건강 상태 체크! 지금 바로 시작하기”
🦷 치주염 증상 — 조기 발견이 치아를 살립니다
치주염은 치아를 지탱하는 잇몸과 치조골에 염증이 생겨 치아가 흔들리거나 빠질 수 있는 대표적인 구강 질환입니다. 초기에 발견하고 치료하면 충분히 회복할 수 있지만, 방치하면 치아를 잃을 수도 있어 조기 증상이 무엇인지 아는 것이 중요합니다.



⚠️ 치주염 초기 증상
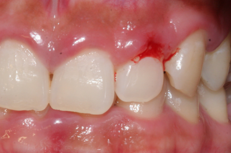
- 🩸 양치질 시 잇몸에서 피가 남잇몸이 약해지고 염증이 생기면 가장 먼저 나타나는 신호입니다.
- 🦷 잇몸이 붓고 뜨거운 느낌통증 없이 붓기만 있어도 이미 염증이 진행 중일 수 있습니다.
- 😮 입 냄새가 심해짐세균 증식으로 인해 지속적인 입 냄새가 나타납니다.
- 🧼 잇몸이 헐거나 붉게 변화건강한 잇몸의 핑크색이 아니라 짙은 붉은색·자주색으로 변합니다.


🦷 치주염이 진행될 때 나타나는 증상
- 🪥 치아가 흔들림잇몸뼈(치조골)가 손상되어 치아를 지탱하지 못합니다.
- 🩺 치아 사이 틈이 벌어짐잇몸이 내려앉고 치조골이 감소하면 틈이 생깁니다.
- 🦷 씹을 때 통증음식 섭취 시 욱신거리는 통증이 나타납니다.
- 🧩 잇몸이 자주 내려앉음(잇몸 퇴축)치아가 길어 보이거나 치아 뿌리가 보이기 시작합니다.
- 🦠 고름이 나옴심한 염증으로 잇몸 내부에 고름이 차면서 통증이 발생합니다.



💊 치주염이 의심될 때 대처 방법
- 🧼 부드러운 칫솔로 양치
- 🧂 미지근한 소금물 가글로 염증 완화
- 🪥 치실·치간칫솔 사용하기
- 🦷 흔들리는 치아는 손으로 만지지 말기
- ❗ 24~48시간 내 치과 방문 필수



🏥 치주염 치료 방법 (치과)
- 🧼 스케일링 & 치근활택술 — 치석·염증 제거
- 🦴 치조골 재생 치료 — 잇몸뼈 회복
- 🔗 치아 고정술 — 흔들리는 치아를 안정화
- 😬 교합 조정 — 씹는 힘 균형 맞춤
- 🦷 심한 경우 발치 후 임플란트
치주염은 초기에는 별다른 통증이 없어 방치하기 쉽지만 진행되면 치아까지 잃을 수 있는 심각한 질환입니다. 양치 시 피가 나거나 잇몸이 붓는 증상이 반복된다면 치주염의 초기 신호일 수 있으므로 빠르게 진료받는 것이 중요합니다. 조기 치료가 치아를 지키는 가장 좋은 방법입니다.
당신의 그림 퍼즐 실력을 확인하고 뇌 건강도 챙기세요!!
'건강 정보' 카테고리의 다른 글
| 혈액암 생존율 — 조기 발견이 가장 큰 변수 (0) | 2026.01.05 |
|---|---|
| 혈액암 증상 — 초기엔 감기처럼 시작된다 (0) | 2026.01.05 |
| 이빨이 흔들릴 때 (0) | 2025.12.21 |
| 오메가3 효능 (0) | 2025.12.18 |
| 허리 협착증 증상 (0) | 2025.12.16 |